Our base product. Efficient in cost, value, and time.
Best for both anterior and posterior crown, bridges, inlay and onlay.
Esthetic material for minimum invasive treatment plan. Bondable.
Best for veneers, inlay, onlay and single crown
To make things easier and sure, we believe a verification jig can be used during try in or cementing multiple restorations and implant abudments
Our signature additional service to enhance esthetic. Best to combine with zirconia for long bridges, single crown matching and anterior crowns with dark abudment
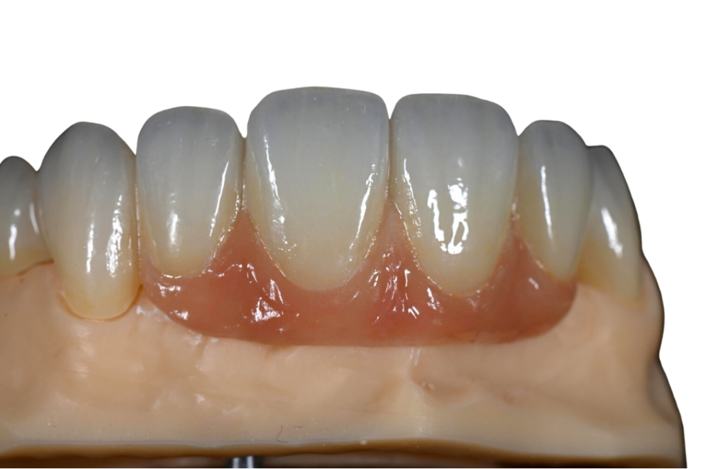
Not only white is important in oral esthetic, but pink plays significant role as well. Huge resorption, bone loss, compromised soft tissue? We have the solution.
A very high end artistic work with a very sensitive technique Best for very thin veneers, prepless or non-prep.
Some special cases that need reinforcement for stability, we can add wing or rest. Best for cantilever or maryland case.
We maximize the usage of digital technology to plan best treatment for you patient. This service include 4 units of wax up / arch
a fast solution for temporary and try in for high-risk case.
For more predictable gingivectomy. Available in clear resin or white opaque resin.
When we go for implant restorations, we put extra effort to process the model, abudment adjusting, and gingival masking
By holding to the core values, we have been passionately creating beautiful and natural looking restorations.















This team is dedicated for fast case turnover without any compromise in quality.
Choose EXCEL for posterior crowns, simple restorations that require efficiency in time, and value.
Team that specializes for more complex cases including anterior restorations and smile makeover cases.
Choose MARVEL for cases where we aim for higher quality. Time is what they need for maximum performance.
FASCINA team is formed due to high demand of quality works.
The members of FASCINA team are carefully picked by our Chief Technician Officer to ensure their work are as close as possible to nature. Their passion and experience are build upon thousands of cases.
Team that exist to make sure that all communication, investigation, and logistic go well and comfortable with our clients.
Their main value of service is: Helpful
Their attitude: Humble
With the support of our clients, we are now exist in Bali and Jakarta to support efficiency of case turnover and logistics
And our latest branch is located in the heart of Indonesia, Jakarta
Handled by the Chief Technician of Zirmon Dental Atelier alone.
dr Kelvin Tantono as the founder of Zirmon Dental Atelier has proved his love for dental restorations by attending several trainings abroad and share his expertise in several trainings and seminars.
MAGNI is a very personalized type of work without intervention of any other hands except the hands of dr Kelvin Tantono.
When enjoying his love for dental restorations, dr Kelvin demand patience because he believes that we can buy quality with time.
With Zirmon Loyaty Apps we can update the progress of our case , check the estimated finish date before sending the case, claim cashback, and also enjoy the reward as our loyal customer
In Zirmon we encouraged tou to choose the team to handle your case to achieve the best effective and efficient result base on time and value. choosing the right team will help you receive the best case in the quickest time with best value
We will follow up your case and we will be very please if you can give us feedback so that we can understand your need and expactation. By doing that, we can build chemistry and better collaboration experience
At Zirmon Dental Atelier, we value open communication and are always here to assist you with your dental restoration needs. Whether you’re a dentist looking for a trusted partner or have general inquiries, we’re just a message away.
+628116150747
+6281269031117

Jl. Wushu No 2D/8, Sei Rengas I, Kec. Medan Kota, Kota Medan, Sumatera Utara. 20214.

Pertokoan Kerta Dalam 2B Jl. Kerta Dalam No VI/8, Sidakarya, Denpasar Selatan, 80224

Ruko Flora, Jl. Aryana Karawaci No. 32 Blok E12, Suka Bakti, Kec. Curug, Kabupaten Tangerang, Banten 15810
© 2017 Zirmon, all rights reserved